| Full Mouth Reconstruction | |||||||||||||||||||
|
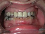
Full Mouth Reconstruction is the optimal choice when several teeth are decayed or missing, affecting the occlusion (the way the teeth come together) and/or the appearance of the face. Full Mouth Reconstruction may involve bridges, veneers, and/or crowns. Most of the existing teeth require treatment in order to correct and restore balance to the occlusion (bite) and facial features.
|
|||||||||||||||||||








